監修:東海大学医学部腎内分泌代謝内科 教授 深川雅史 先生

文字サイズ
監修:東海大学医学部腎内分泌代謝内科 教授 深川雅史 先生

CKDの進行要因

高血糖や高血圧などの状態に加え、”炎症やせんい化”が要因となります。その結果、腎臓に障害が生じるとともに、心臓などの臓器にも障害が生じます。

CKDの進行要因

2型糖尿病を合併する慢性腎臓病の進行要因

“炎症やせんい化”とは?

本来、“炎症やせんい化”は、傷ついた部位に対してからだを守るために起こる生体の正常な反応です。しかし、この反応が必要以上に持続すると、臓器が硬くなったり、障害を起こすなど、臓器が正常に機能しなくなる場合があります。

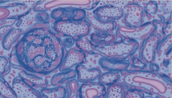
<イメージ図>

正常な腎臓の組織

正常な腎臓の組織

障害が起こっている腎臓の組織

障害が起こっている腎臓の組織

  • 青く染まって見える部分が障害を起こした組織です。